General Dentistry
Dentistry for Patients of All Ages at Every Stage! Kids to Seniors!
At Yarra Smiles, we provide gentle, reliable, and quality dental care for families in Canberra and Deakin !

Prevention, Treatment & Protection For Smiles of All Ages Complete General Dental Care in Canberra
Finding the right dentist in Canberra can be a big decision, because your dental health is a window into your overall health and well-being. That’s why we’re proud to offer a full spectrum of general dentistry in Canberra designed to be the foundation of your family’s oral health journey.
Dental care should be a positive and gentle experience, not something to put off. We provide a friendly and expert environment where you feel completely at ease.
We’re not just here when something goes wrong. We’re here to help you prevent problems before they start. Get comprehensive, modern care built on a foundation of education and trust.
Book Your Dental Check-up Now
Don't Wait For a Toothache To Start Your Journey To a Healthier Smile.
General Dentistry Services We Offer In Deakin & Canberra
We’ve designed our general dentistry services to meet the needs of individuals and families across all ages in Deakin & Canberra. We provide a full suite of general dental services to address all your family’s needs.

Regular Dental Check-Ups
Your first step to better oral health. We recommend a dental check-up every six months to catch any early signs of problems. We perform a thorough oral health assessment, discuss your oral hygiene habits and offer custom care recommendations.

Oral Examinations
We check for signs of decay, gum disease, and other issues. If required, we take modern X-rays and diagnostics to detect problems that aren’t visible to the naked eye, such as cavities between teeth or issues with bone structure.

Professional Teeth Cleaning
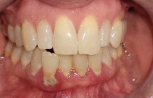
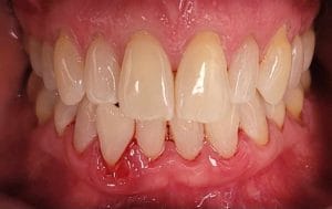
If necessary, we conduct a professional plaque and tartar removal to clean your teeth more effectively than you can at home, polishing them to a brilliant shine. Our gentle cleanings help prevent gum disease, keep your breath fresh and brighten your natural tooth colour.

Dental Fillings
If you’ve got a cavity, we offer tooth-coloured dental fillings that blend seamlessly with your natural teeth. Fast, minimally invasive, and long-lasting. We remove the decayed part of the tooth and fill the space with a durable material to restore its shape and function.

Tooth Extractions
In cases where a tooth is too severely damaged to be saved (from trauma, extensive decay, or severe infection), a tooth extraction may be necessary. We perform gentle, precise tooth extractions with a focus on your comfort and recovery.

Root Canal Therapy
When a tooth’s inner pulp becomes infected due to deep decay or a crack, root canal therapy can often save the tooth from extraction. We use the latest techniques to remove the infected pulp, clean and seal the tooth’s interior, and it is usually completed with a crown to restore its strength.

Gum Care
Healthy gums are the foundation of a healthy smile. Our general dental services include comprehensive gum care, helping to diagnose and treat gingivitis (early gum disease) and prevent its progression to more serious conditions like periodontitis.

Fluoride Treatments
Fluoride is a powerful tool in preventive dental care that strengthens enamel and helps reverse early decay. We offer this treatment especially for children, teenagers, and anyone with a history of cavities to prevent their progression into more serious conditions.
Book Your Child Dental Appointment Today
We can take care of your entire smile from basic cleanings to complex treatment plans.
Benefits You Get from Regular General Dental Care in Deakin, Canberra
Committing to a consistent schedule of general dental care appointments every six months provides a multitude of benefits that go far beyond a sparkling smile. Neglecting general dentistry often means bigger issues down the track, both medically and financially.
1. Early Cavity Detection and Treatment
Regular check-ups allow our team to catch and treat cavities while they are still small, preventing them from growing and requiring more complex and costly procedures.
2. Preventing Gum Disease
Professional teeth cleaning and oral health assessment help to remove the plaque and tartar buildup that lead to gum disease, protecting your gums and the bone that supports your teeth.
3. Saving Money in the Long Run
Investing in preventive dental care can save you from the cost of more extensive treatments down the road, such as a tooth extraction or dental implants.
4. Detecting Other Health Issues
Your mouth can be a window to your overall health. Signs of certain systemic diseases, like diabetes or oral cancer, can sometimes be detected during a routine oral examination.
5. A Brighter, Healthier Smile
Regular dental hygiene services like professional cleaning and polishing keep your smile looking its best. Our team can also discuss other cosmetic dentistry options like teeth whitening, which Canberra patients love.
General dental visits also offer an opportunity to ask questions about other concerns, like cosmetic options, i.e teeth whitening in Canberra, or jaw discomfort best handled at our TMJ clinic Canberra.

Reasons To Choose Yarra Smiles for General Dentistry in Canberra!
- We take pride in being more than just a clinic; we are a community partner committed to taking care of all your dental needs in Canberra.
- Our team is dedicated to staying at the forefront of dental science, providing expert care in a gentle, friendly manner.
- We utilise modern X-rays and diagnostics to ensure accurate assessments and effective treatments.
- Every patient is unique. We take the time to listen to your concerns and develop a customised plan that fits your needs and goals.
- We consider how your oral health connects to your overall well-being. For example, if you have jaw pain, we can assess you at our dedicated TMJ clinic in Canberra to provide comprehensive care.
We believe in long-term relationships, not one-time visits. So if you’re new to the area or just looking for a more comfortable dental experience, we’re here to help.
Make Your Smile Beautiful
- We take pride in being more than just a clinic; we are a community partner committed to taking care of all your dental needs in Canberra.
- Our team is dedicated to staying at the forefront of dental science, providing expert care in a gentle, friendly manner.
- We utilise modern X-rays and diagnostics to ensure accurate assessments and effective treatments.
- Every patient is unique. We take the time to listen to your concerns and develop a customised plan that fits your needs and goals.
- We consider how your oral health connects to your overall well-being. For example, if you have jaw pain, we can assess you at our dedicated TMJ clinic in Canberra to provide comprehensive care.
We believe in long-term relationships, not one-time visits. So if you’re new to the area or just looking for a more comfortable dental experience, we’re here to help.
Pit and Fissure Sealants
Fissure sealants are useful to seal the deep crevices on teeth of patients at moderate to high risk of cavities to protect them against decay.


Nightguards or Occlusal Splints—
Nightguards are used for patients who grind their teeth at night and are at risk of tooth fractures caused by grinding.
Mouthguard
Mouthguards protect our teeth from sports injuries. Dental trauma can have physical, psychological and financial impact. Wearing a mouthguard during sports can the difference between a winning smile and a painful dental emergency.

Preventive Dentistry to Protect Your Teeth and Gums
Preventive dentistry is the cornerstone of general dentistry. Its primary aim is to prevent dental disease. Key services in this area include:
Routine Checks—Regular dental check-ups are crucial for identifying early signs of cavities, gum disease, and other dental issues. Dental disease in its early stages is painless; hence, patients may not be aware of its presence until it is advanced. Disease in advanced stages is more complex, painful, and expensive to treat.
Professional Cleans—We provide scaling and polishing to remove plaque and tartar, reducing the risk of gum disease.
Fluoride Treatment—Professional Fluoride treatment has been shown to prevent cavities and reverse early damage caused by the carious process.

Periodontal (Gum) Care
Gum disease threatens not only your oral health but your overall health with links to chronic diseases like diabetes, lung health and stroke.
The first signs of gum disease (gingivitis) include bleeding and tender gums. Advanced gum disease (periodontitis) can lead to tooth loss. We provide a customised treatment regimen that includes deep dental cleans to remove plaque, tartar and bacteria. If necessary, we will collaborate with local periodontal specialists to help you achieve good oral health.
Book Your General Dentistry Services Appointment Today
Taking control of your oral health with regular general dental services is the best investment you can make in your well-being.
General Dentistry Specials
Frequently Asked Questions
When dealing with dental issues, it’s important to understand why medication alone is often insufficient. Medications such as antibiotics and pain relievers can manage symptoms but don’t address the underlying causes of dental conditions, such as tooth infection.
Why Dental Treatment Is Often Necessary
Physical intervention is crucial for conditions like tooth decay, root infections or gum disease. Decay involves damage to the tooth structure caused by acids produced by bacteria in plaque. This damage cannot be reversed by medication. Similarly, a root infection requiring root canal therapy involves cleaning and sterilisation within the tooth. Advanced gum disease, where there is a significant build-up of plaque and tartar beneath the gums, requires cleaning procedures that medications cannot provide.
Medications Treat Only Symptoms
Medications might temporarily alleviate symptoms, giving a false sense of resolution, but the condition will likely progress without treating the source of the problem. This could lead to more severe issues and potentially more invasive treatments later on, such as tooth extraction.
Emergency Dentistry in Deakin, ACT
Always discuss your treatment options with your dentist at Yarra Smiles. They can provide the most effective plan to manage your dental health, combining medication with dental treatments where necessary to ensure the best outcomes for your condition.
Yes! It is possible to keep your teeth in good condition for life by establishing some healthy habits. Avoiding dental issues requires a combination of excellent home care and regular professional dental visits. Having a good daily oral hygiene routine is essential. This involves brushing your teeth at least twice daily and flossing daily using proper techniques to remove plaque and prevent tartar build-up, which can lead to gum disease and tooth decay.
Schedule Regular Teeth Cleans
In addition to your home care, visiting your dentist regularly for check-ups and a professional clean and polish is essential. These visits enable your dentist to detect early signs of dental issues and provide timely treatment. Your dentist can also offer treatment recommendations tailored to your specific dental needs.
Avoid sugary snacks and acidic beverages to reduce the risk of decay and enamel erosion. A healthy, varied diet with lean protein, calcium, and veggies and fruit will give you the vitamins and minerals necessary for good dental and overall health.
General Dentistry in Deakin, ACT
Keeping your teeth healthy throughout your life is important. If you would like to learn more, we invite you to contact Yarra Smiles in Deakin, ACT, to learn more or to arrange your next dental visit.
Whether you need an injection when getting a dental filling depends on several factors. These include the depth of the cavity and the patient’s pain threshold. For minor cavities, you might not need an injection. The dentist can often complete these fillings with little to no discomfort, as the decay has not yet impacted the nerve.
When Is a Dental Injection Necessary?
For deeper cavities close to the nerve, an injection can help ensure the procedure is pain-free. The local anaesthetic we use will numb the area around the tooth, preventing pain signals from reaching the brain.
Dentists aim to make all treatment as comfortable as possible, and the decision to use an injection often aligns with the patient’s comfort and the specific requirements of the procedure. You can opt for anaesthetic just to be on the safe side if you wish.
Every patient and every dental situation is unique. It’s best to discuss your concerns and options with your dentist, who can customise the approach to suit your needs and ensure a comfortable experience during your dental filling appointment.
Gentle Dentistry in Deakin, ACT
If you suspect you need a filling or believe your child needs one, we welcome your call. At Yarra Smiles, we always prioritise patient comfort.
Is It Time for Your Next Check-Up and Clean?
Discover smarter ways to care for your smile. Subscribe for expert advice and clinic news.

